Wurzelbehandlung, Wurzelkanalbehandlung, Endodontologie
Praxisschwerpunkt ZÄK Nordrhein
Warum wir Zähne erhalten,
die andere schon aufgegeben haben
Professionelle Zahnrettung
Eine fehlgeschlagene Wurzelfüllung ist kein Grund, den Zahn zu ziehen. Bei einer sogenannten Revision entfernen wir in mühsamer Kleinstarbeit das alte, oft unzureichende Füllmaterial. Ein mühsam geretteter eigener Zahn ist jedem Implantat überlegen.
Die Endodontie ist ein Feld, in dem Sorgfalt, Erfahrung und Equipment über Erfolg oder Misserfolg entscheiden. Wussten Sie, dass viele Zähne überzählige Kanäle haben, die auf Standard-Röntgenbildern unsichtbar bleiben? Wird ein Kanal übersehen und nicht abgefüllt, sind Beschwerden oder sogar eine Entzündung der Wurzelspitzen die Folge.
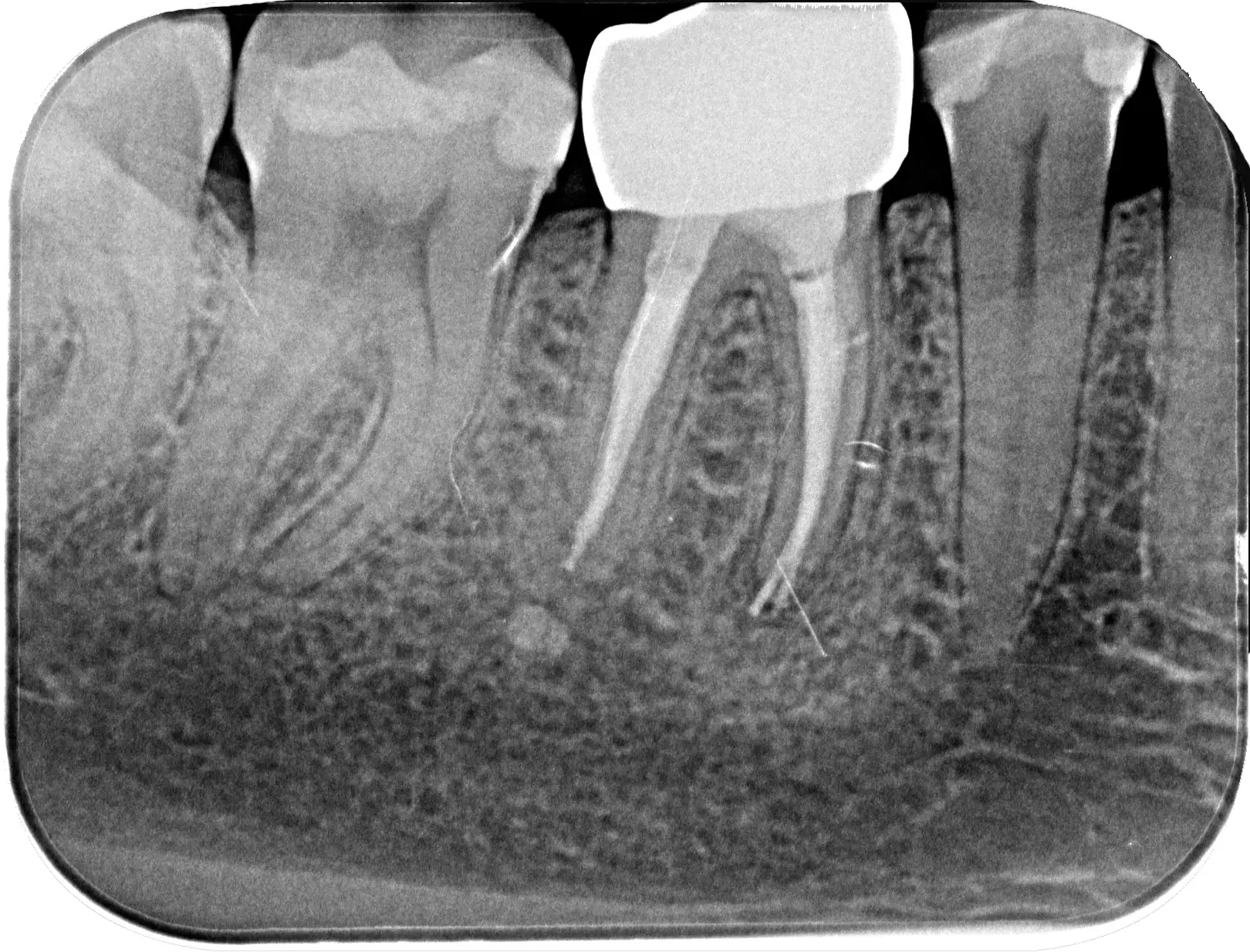
In diesem Fall mussten wir eine mangelhafte Fremdbehandlung korrigieren: Ein im Kanal abgebrochenes Instrument des Vorbehandlers blockierte den Weg und löste eine Entzündung aus. Durch präzises Bypassing konnten wir das Fragment sicher umgehen und bergen, um den Zahn bis zur Wurzelspitze erfolgreich zu retten.
Sicher, sauber und nachhaltig
Sorgfalt statt Eile
Wir reinigen und desinfizieren das komplexe Hohlraumsystem bis in den letzten Winkel mit schall / ultraschallaktivierten Spülflüssigkeiten.
Bakterienfreiheit
Nur wenn die Ursache restlos beseitigt wird, kann die Entzündung an der Wurzelspitze von alleine ausheilen. Medikamentöse Einlagen helfen Ihrem Zahn dabei.
Nachhaltigkeit
Ein bakteriendichter Verschluss, beispielsweise ein Compositeaufbau oder noch besser: eine Krone / Teilkrone können hier den Weg zur Reinfektion des Wurzelkanals erheblich verlängern und somit zum langfristigen Erhalt des Zahnes beitragen.
Spitzenklasse für Ihren Zahnerhalt
Um auch in solch schwierigen Fällen maximale Sicherheit zu bieten, setzen wir auf die Spitzenklasse der Optik: das Zeiss S7 PROergo Operationsmikroskop.
Wir investieren in diese Technologie, weil wir keine Kompromisse machen, wenn es um die Gesundheit Ihrer Zähne geht. Denn nur was man sieht, kann man auch erfolgreich behandeln.
Hightech-Materialien für den perfekten Verschluss
Damit ein Zahn dauerhaft stabil bleibt, nutzen wir Füllmaterialien auf höchstem Niveau. Je nach Befund setzen wir auf das bewährte thermoplastische Verfahren (Thermafill) mit dem AH Plus Sealer (dem Goldstandard) oder nutzen modernste biokeramische Materialien (Totalfill BC Sealer und BC Points), die eine besonders biologische Heilung fördern.

Was uns unterscheidet
Spezialisierung
Durch unseren klaren Schwerpunkt auf Endodontie und eine fundierte Zusatzausbildung haben wir den Blick für das Ungewöhnliche geschärft.
High-End-Diagnostik
Wir arbeiten mit Technik, die mehr zeigt als der Durchschnitt. Wir finden die „versteckten“ Kanäle, die sonst zu chronischen Schmerzen führen würden mittels Lupenbrille, Operationsmikroskop und 3D Röntgen.
Leidenschaft für Perfektion
Wir leisten Präzisionsarbeit und füllen alle Kanäle bis zur Wurzelspitze ab. Perforationen können oftmals mit medizinischem MTA abgedeckt werden. Wir benutzen hierfür Biodentine (Septodont).
Worauf kommt es an?
Der Erfolg unserer Behandlung lässt sich messen. Entscheidend für den langfristigen Erhalt ist die vollständige Desinfektion aller Kanäle und ein anschließender, absolut dichter Verschluss, um eine Reinfektion zu verhindern.
Das Ergebnis dieser Präzision machen wir für Sie sichtbar: Auf dem abschließenden Röntgenbild sticht eine gelungene Wurzelfüllung klar weiß hervor. Sie muss lückenlos bis zur Wurzelspitze reichen und darf keine Lufteinschlüsse aufweisen. Ein entscheidender Punkt dabei: Es müssen zwingend alle Hohlräume behandelt werden – und nicht nur drei von vier Kanälen. Da wir auf diese Behandlungen spezialisiert sind und einen eingetragenen Tätigkeitsschwerpunkt führen, konnten wir bereits viele Zähne retten, die anderswo als verloren galten.
Zahnerhalt durch Detektivarbeit
an der Wurzelspitze
Jeder Zahn ist so individuell wie ein Fingerabdruck. Normalerweise findet man bei diesem Zahntyp zwei Kanäle – in diesem speziellen Fall hat uns die Anatomie jedoch herausgefordert: Es waren drei!
Das Auffinden solch seltener Strukturen erfordert Geduld und Erfahrung. Wir freuen uns über dieses Ergebnis, denn nur eine lückenlose Reinigung und Füllung aller Kanäle schützt den Zahn dauerhaft vor neuen Entzündungen. Ein kleiner „Erfolgskrimi“, der zeigt, warum wir bei Wurzelbehandlungen keine Kompromisse machen.
Man kann nur behandeln, was man sieht
– Präzision am Limit
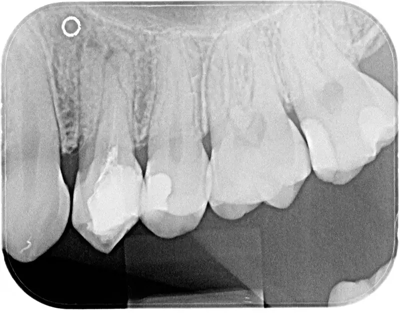
In der modernen Zahnmedizin entscheiden oft Millimeter über den langfristigen Erhalt eines Zahnes. Während eine herkömmliche Lupenbrille in vielen Fällen ausreicht, stoßen wir bei komplexen Wurzelbehandlungen (Endodontologie) manchmal an anatomische Grenzen, die das bloße Auge nicht mehr erfassen kann.
Ein aktuelles Beispiel aus unserer Praxis (siehe Bild) zeigt einen Backenzahn mit fünf statt der üblichen drei Wurzelkanäle. Solche feinen Verästelungen sind eine absolute Rarität und ohne entsprechende Technik kaum zu lokalisieren.


